Can Chiari 0 Malformation Be Mistaken for MS? Understanding the Overlap


Imagine experiencing numbness, tingling, balance issues, or unexplained fatigue, symptoms that many would quickly associate with multiple sclerosis (MS). However, for some people, the real source of these frustrations isn’t MS at all but a lesser-known condition called Chiari 0 malformation. At Back To Health Family Chiropractic in Fort Worth, TX, Dr. Chris Michlin—the state’s only Board Certified Atlas Orthogonal Doctor of Chiropractic, is committed to helping patients uncover the root cause of difficult symptoms. Understanding that it’s not MS can bring relief, and Dr. Michlin is here to guide you toward that understanding and lasting relief when answers are hard to come by.

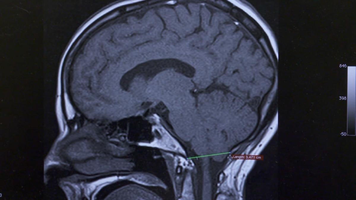
What Is Chiari 0 Malformation?

Chiari 0 malformation is a subtle variant within the Chiari family of disorders. Unlike more pronounced Chiari malformations, involving part of the brain protruding into the spinal canal, Chiari 0 typically shows less herniation on imaging tests, which is more subtle than a Medical Radiologist’s standard training. Consider the difference between a slightly inserted cork in a bottle of wine and a fully inserted cork. The observation is subtle. However, it still creates pressure at the base of the skull’s base, disrupting cerebrospinal fluid (CSF) flow and increasing pressure on nearby nerves and structures.

Chiari 0 vs. MS: Why the Symptoms Can Be Confusing

Both Chiari 0 and MS can cause neurological symptoms such as:

  • Numbness or tingling in the arms and legs
  • Diffuse aches and pains
  • Muscle weakness
  • Dizziness or problems with balance
  • Headaches and fatigue

Diagnosis can be tricky because these sensations can mirror each other. Often, patients with Chiari 0 malformation undergo extensive testing, and are even diagnosed with MS, before the actual cause is revealed. However, with early and accurate diagnosis, you can avoid unnecessary treatments and start the right path toward relief. This is why understanding the difference between Chiari 0 and MS is crucial, and Dr. Michlin is here to help you navigate through this journey.

The Role of Atlas Orthogonal Adjustments

When the topmost vertebra, the Atlas (C1), is out of alignment, it can compound pressure at the base of the skull and affect how nerves communicate throughout the body. Atlas Orthogonal Specific Upper Cervical Chiropractic uses gentle, precise adjustments to restore proper alignment without forceful movements. This approach has been shown to reduce neurological irritation, boost communication between the brain and body, and help alleviate symptoms of Chiari 0 malformation. Many patients, who once struggled with their symptoms, have reported significant improvements in their balance, discomfort, and overall quality of life with consistent, specialized care. This is a beacon of hope for those dealing with Chiari 0 malformation.

Call Our Chiropractor near You for Help Finding Answers

If you are facing symptoms that suggest MS, but testing provides few answers, consider whether Chiari 0 malformation might be involved. Dr. Michlin’s expertise in Atlas Orthogonal adjustments offers patients a gentle, advanced path forward. Are you ready for a careful evaluation and a personalized approach? Call Back To Health Family Chiropractic in Fort Worth, TX, at (817) 810-9111 and take your next step toward relief today.

Read Success Stories from Our Chiari Patients HERE!


Imagine experiencing numbness, tingling, balance issues, or unexplained fatigue, symptoms that many would quickly associate with multiple sclerosis (MS). However, for some people, the real source of these frustrations isn’t MS at all but a lesser-known condition called Chiari 0 malformation. At Back To Health Family Chiropractic in Fort Worth, TX, Dr. Chris Michlin—the state’s only Board Certified Atlas Orthogonal Doctor of Chiropractic, is committed to helping patients uncover the root cause of difficult symptoms. Understanding that it’s not MS can bring relief, and Dr. Michlin is here to guide you toward that understanding and lasting relief when answers are hard to come by.

What Is Chiari 0 Malformation?

Chiari 0 malformation is a subtle variant within the Chiari family of disorders. Unlike more pronounced Chiari malformations, involving part of the brain protruding into the spinal canal, Chiari 0 typically shows less herniation on imaging tests, which is more subtle than a Medical Radiologist’s standard training. Consider the difference between a slightly inserted cork in a bottle of wine and a fully inserted cork. The observation is subtle. However, it still creates pressure at the base of the skull’s base, disrupting cerebrospinal fluid (CSF) flow and increasing pressure on nearby nerves and structures.

Chiari 0 vs. MS: Why the Symptoms Can Be Confusing

Both Chiari 0 and MS can cause neurological symptoms such as:

  • Numbness or tingling in the arms and legs
  • Diffuse aches and pains
  • Muscle weakness
  • Dizziness or problems with balance
  • Headaches and fatigue

Diagnosis can be tricky because these sensations can mirror each other. Often, patients with Chiari 0 malformation undergo extensive testing, and are even diagnosed with MS, before the actual cause is revealed. However, with early and accurate diagnosis, you can avoid unnecessary treatments and start the right path toward relief. This is why understanding the difference between Chiari 0 and MS is crucial, and Dr. Michlin is here to help you navigate through this journey.

The Role of Atlas Orthogonal Adjustments

When the topmost vertebra, the Atlas (C1), is out of alignment, it can compound pressure at the base of the skull and affect how nerves communicate throughout the body. Atlas Orthogonal Specific Upper Cervical Chiropractic uses gentle, precise adjustments to restore proper alignment without forceful movements. This approach has been shown to reduce neurological irritation, boost communication between the brain and body, and help alleviate symptoms of Chiari 0 malformation. Many patients, who once struggled with their symptoms, have reported significant improvements in their balance, discomfort, and overall quality of life with consistent, specialized care. This is a beacon of hope for those dealing with Chiari 0 malformation.

Call Our Chiropractor near You for Help Finding Answers

If you are facing symptoms that suggest MS, but testing provides few answers, consider whether Chiari 0 malformation might be involved. Dr. Michlin’s expertise in Atlas Orthogonal adjustments offers patients a gentle, advanced path forward. Are you ready for a careful evaluation and a personalized approach? Call Back To Health Family Chiropractic in Fort Worth, TX, at (817) 810-9111 and take your next step toward relief today.

Read Success Stories from Our Chiari Patients HERE!

Our Location

Office Hours

Our Regular Schedule

Monday  

9:00 am - 12:00 pm

2:00 pm - 6:00 pm

Tuesday  

9:00 am - 12:00 pm

2:00 pm - 6:00 pm

Wednesday  

9:00 am - 12:00 pm

2:00 pm - 6:00 pm

Thursday  

9:00 am - 12:00 pm

2:00 pm - 6:00 pm

Friday  

By Special Arrangement

Saturday  

Closed

Sunday  

Closed